OTROLIGT: Ett revolutionerande genombrott STOPPAR tandköttsretraktion inom 7 dagar efter användning!
Presenterad av Dr. Elin Anderson, D.D.S., F.A.G.D., specialist i tandvård med över 20 års erfarenhet


73 % av människor med tillbakadraget tandkött upplever ständig smärta och känslighet... Detta genombrott, upptäckt under avancerad parodontal forskning, erbjuder ett naturligt sätt att OMGÅENDE behandla och stärka tandköttet, STOPPA retraktion och FÖRHINDRA tandförlust samt allvarliga tandproblem... Beställ Teeth Repair Gel med 50 % RABATT + GRATIS frakt så länge lagret räcker!
Dina tänder ska inte göra ont vid varje tugga eller klunk
Har du märkt att dina tänder ser längre ut än tidigare, eller att du inte kan njuta av varm kaffe eller kall glass utan att grimasera av smärta?
...du vet hur det förstör ALLT.
Du lider av ständig smärta från blottade tandrötter.
Du kan inte längre njuta av dina måltider.
Du undviker dina favoritmaträtter eftersom de förvärrar ditt tandköttstillstånd.
Detta är bokstavligen några av de värsta känslorna i världen.
Det finns inget ”normalt” med tillbakadraget tandkött
När tandköttet drar sig tillbaka och blottar känsliga rötter blir även vardagliga aktiviteter outhärdliga på grund av det ständiga obehaget.
Har du märkt att ditt tandkött drar sig bort från tänderna?
Har du känt den malande smärtan vid varm kaffe eller kalla drycker eftersom rötterna är blottade?
Ser dina tänder längre ut än tidigare på grund av tandköttsretraktion?
Kan du inte äta eller dricka något kallt eftersom blottade rötter skickar en omedelbar ilande smärta genom munnen?
Är ditt leende pinsamt eftersom tillbakadraget tandkött förändrat dina tänders utseende?
Om du svarade ”JA” på någon av dessa frågor lider du av gingival retraktion – ett vanligt problem där tandköttsvävnaden gradvis försvinner och blottar tandrötterna.

Den dolda faran bakom tandköttsretraktion
Tandköttsretraktion är mer än bara ett kosmetiskt problem – det gör dina tänder sårbara för karies, infektioner och till och med tandförlust om det lämnas obehandlat.
När tandköttet drar sig tillbaka bildas ”fickor” längs tandköttskanten där bakterier samlas och förvärrar situationen över tid.

Den slumpmässiga upptäckten som förändrade allt
När hon forskade om lösningar för patienter med svår tandköttssjukdom gjorde Dr. Mäkinen ett genombrott som tandvårdsbolagen inte ville avslöja.
”Jag behandlade patienter som inte hade råd med dyra tandköttstransplantat som kostade över 30 000 kr per tand,” förklarar Dr. Anderson. ”Av en slump snubblade jag över en unik kombination av naturliga ämnen som utlöst något anmärkningsvärt – verklig regenerering av tandköttet.”
När Dr. Anderson presenterade sina fynd för kollegor var många skeptiska. ”De sa att tandköttsvävnad inte kunde växa tillbaka naturligt. Men sedan visade jag dem de kliniska bilderna från mina patienter. Resultaten var obestridliga.”
Inom några månader förfinade Dr. Anderson sin formula till vad som nu kallas Teeth Repair Gel – den första icke-kirurgiska lösningen som faktiskt vänder tandköttsretraktion istället för att bara hantera symtomen.
Hur Teeth Repair Gel STOPPAR tandköttsretraktion
Teeth Repair Gel bildar ett tunt skyddande lager över tillbakadraget tandkött och blottade rötter. Dess aktiva partiklar tränger djupt in i tandköttsvävnaden, närar cellerna och tillhandahåller de nödvändiga ”byggstenarna” för frisk vävnadstillväxt exakt där retraktionen uppstått.
De aktiva ingredienserna ersätter skadade celler med motsvarande byggstenar och triggar regeneration av ny, frisk vävnad som täcker de smärtsamma blottade rötterna.
Detta gör att du kan:
- Stoppa tandköttsretraktion i alla stadier – snabbt och effektivt
- Återställa tandköttets hälsa
- Stärka fästet mellan tand och tandkött
- Minska känslighet från blottade rötter
- Förhindra ytterligare retraktion som leder till tandförlust

Teeth Repair Gel verkliga kraft ligger i regelbunden användning
Till skillnad från läkemedel som kroppen blir beroende av är Teeth Repair Gel 100 % NATURLIG och hjälper till att successivt återbygga tandköttet, skydda blottade rötter och återställa tandköttslinjen till en friskare position!
Vad gör Teeth Repair Gel så speciell för behandling av tandköttsretraktion?
Teeth Repair Gel är ett naturligt alternativ till dyra tandvårdsbehandlingar (som tandköttstransplantat som kostar över 30 000 kr per tand och fickreduceringskirurgi) samt receptbelagda produkter.
Den hjälper dig snabbt och smärtfritt att återställa och stärka tillbakadraget tandkött, täcka blottade rötter och eliminera känslighet!
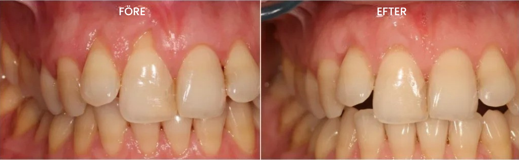
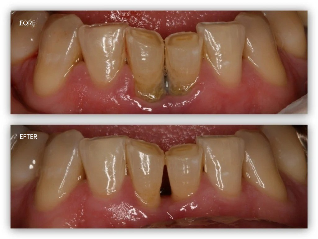
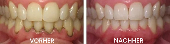
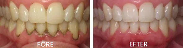
Denna gel har vunnit flera internationella utmärkelser, inklusive Årets 2025 Pris för Framstående Innovation inom Tandvård, och värderas högt av tandläkare som en effektiv behandling som STOPPAR och VÄNDER tandköttsretraktion – med synliga resultat redan efter EN VECKAS användning!
Vår 5-stjärniga formula innehåller kraftfulla ingredienser speciellt utvecklade för att bekämpa tandköttsretraktion. De tränger direkt in i de djupa lagren av tandköttet, närar cellerna och levererar viktiga byggstenar för regeneration.
Redan efter den första veckan med Teeth Repair Gel förstår du varför våra kunder kallar den ”livsförändrande”.
Känn effekten på MINUTER – inte månader
✅ OMGÅENDE LINDRING – På 5–10 minuter känner du tydlig lindring från känslighet. Inom några dagar märker du hur tandköttet börjar återhämta sig.
✅ 100 % LÄKEMEDELSFRI – Regenerera tandköttet utan dyra transplantationer, smärtsam återhämtning eller höga tandvårdsräkningar.
✅ FUNGERAR VID ALLA ORSAKER – Testad, rekommenderad och använd av hundratals tandläkare – oavsett om orsaken är för hård borstning, parodontit, gener, hormoner, tandgnissling eller felställningar.
✅ INGEN RECEPTKRAV – Innehåller enbart naturliga och helt säkra ingredienser.
✅ 90 DAGARS PENGARNA-TILLBAKA-GARANTI – Om ditt tandkött inte förbättras, returnera enkelt utan frågor!
Bör du köpa Teeth Repair Gel för tandköttsretraktion?
TOTALBETYG
4.9/5

Stoppar och vänder tandköttsretraktion
Eliminerar känslighet från blottade rötter
Regenererar skadad tandköttsvävnad
Förebygger ytterligare retraktion
ABSOLUT 100 % JA!
Teeth Repair Gel rekommenderas av tandläkare för att återställa tillbakadraget tandkött, bygga upp vävnaden och skydda blottade rötter – oavsett orsaken.
Professionella skådespelare, sångare och andra kändisar använder Teeth Repair Gel för att förebygga och behandla tandköttsretraktion utan dyra kirurgiska ingrepp.
Och nu kan ÄVEN DU använda denna otroliga teknologi för att regenerera ditt tandkött och återställa tandköttslinjen hemma!
⚠️ BEGRÄNSAD TILLGÅNG: Endast 23 st kvar⚠️
Senaste lagerkontroll: 7 minuter sedan
Du behöver inte leva med tandköttsretraktion och exponerade tandrötter eller spendera tusentals kronor på tandläkarbesök för tandköttstransplantation. Är du redo att återställa ditt tandkött och äntligen få tillbaka en frisk tandköttslinje?
Nu när du känner till denna geniala lösning speciellt för behandling av tandköttsretraktion, så här gör du för att få tag på den:
Steg 1:
Beställ original Teeth Repair Gel från den officiella webbplatsen genom att klicka här
Steg 2:
Applicera dagligen på ditt tandköttsretraktion och GLÖM hur tandköttsretraktion, exponerade rötter och känsliga tänder känns!
Rekommenderas:

4,9 | 9 897 Omdömen
Teeth Repair Gel

Stoppar och vänder tandköttsretraktion

Eliminerar känslighet från blottade rötter

Regenererar skadad tandköttsvävnad

Förebygger ytterligare retraktion

Kommentarer

Wilma Lindström
Otroligt!!! Tack för den här artikeln, den påminner mig om min egen historia... Den här gelen hjälpte mig också. Den räddade verkligen mig och mitt tandkött efter 12 års lidande.

Doris Jönsson
Jag köpte min till fullt pris och nu är det 50 % rabatt? Så orättvist! Men ärligt talat hade jag betalat dubbelt – min tandläkare blev chockad vid min senaste kontroll!

Sven Vilhelmsson
Hur lång tid tar frakten? Min tandläkare vill göra transplantation nästa månad, men jag vill prova detta först.

Marie Thalén
Sven , jag fick min efter en vecka. Avboka operationen! Detta fungerar bättre och du slipper smärtsam återhämtning.
Anna Braun
Jag har använt denna gel i cirka 4 veckor och är helt förbluffad över resultaten. Mina tänder gör inte längre ont av glass!

Emma Dahl
Efter 2 veckors användning ser jag redan tydliga resultat. Tack så mycket! Min man säger att min andedräkt är bättre också – bonus!



Anders Ekberg
Jag blev av med blödande tandkött och dålig andedräkt på bara 2 veckor! Jag är chockad över hur bra det fungerar! Min tandläkare ville ta 42 000 kr för behandlingarna!

Edit Holm
För mig tog det 10 dagar.

Terese Johansson
Tack för tipset. Jag var precis på väg att beställa. Kaffe, rökning och många andra faktorer – till och med oundvikliga som ålder – påverkar tandköttets styrka negativt... Jag har kämpat länge med retraktion och jag är säker på att jag kan besegra problemet denna gång!

Per Reming
Hej alla! Min fru köpte denna gel och jag är helt förbluffad av resultatet. Mitt leende har aldrig varit så friskt och strålande. Vi använder den nu dagligen för att behålla friskt tandkött och god munhälsa.

Agnes Robertsson
Jag beställde den och ser fram emot mitt paket :)

Birgit Wallin
Detta är egentligen inget nytt, gelen har varit populär länge. Min bror bekämpade sitt tillbakadragna tandkött framgångsrikt med den för ett år sedan.

Henrik Rask
Folk i Sverige har använt denna gel i 5 år! Jag har hört om den från många kollegor.

Birgitta Persson
Hej. Jag har använt denna gel i 10 dagar nu... Jag är helt mållös! Tack så mycket!

Anna Thomsson
Det har bara gått 5 dagar och jag ser redan resultat! Jag är mycket nöjd!

Clara Rosén
Jag köpte den och gillade den! För det här priset är det helt enkelt en gåva!

Amanda Hallberg
Efter 2 veckors användning ser jag redan synliga resultat. Tack så mycket!



Tina Eriksson
Tack för den fina recensionen och den ärliga berättelsen. Jag har hört talas om injektioner i tandköttet, men de är så smärtsamma och dyra att jag är rädd för dem... Så jag tycker det är värt att beställa denna gel direkt för att lösa mitt problem.

Katharina Hartman
Grattis till mig också! Jag blev av med blödande tandkött och dålig andedräkt på bara 2 veckor!



Amanda Martinsson
Jag är tacksam för den här metoden!!! Den räddade mitt tandkött. Jag har provat många metoder, men bara denna gel hjälpte mig. Efter bara en veckas användning såg jag fantastiska resultat. Jag rekommenderar den till alla!

Daniel Klar
Hej alla! Min fru köpte denna gel och jag är helt förbluffad av resultatet. Mitt leende har aldrig varit så friskt och strålande. Vi använder den nu dagligen för att behålla friskt tandkött och god munhälsa.



Sara Jägersson
Det var precis vad jag behövde! Nu kommer alla på jobbet vara avundsjuka på mig, hehe.

Denna webbplats uttalanden har inte granskats av FDA. Produkterna som säljs här är inte avsedda att diagnostisera, behandla, bota eller förebygga någon sjukdom. Informationen här eller från detta företag ersätter inte personlig konsultation med läkare och är inte avsedd som individuell medicinsk rådgivning...
© Vitova. Alla rättigheter förbehållna.